
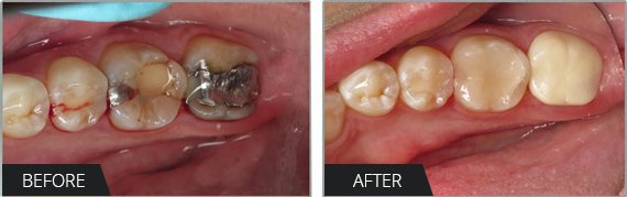
Crowns are recommended to:
Strengthen a cracked, decayed, or weakened tooth
Restore teeth after root canal therapy
Replace a large filling or protect a worn tooth
Support a dental bridge
Complete a dental implant
Enhance a tooth’s appearance or alignment
Evaluation & Preparation – We examine the tooth, take digital impressions, and shape it to fit your new crown.
Temporary Crown Placement – A temporary crown protects your tooth while your permanent one is created at our partner lab.
Final Placement – During your follow-up visit, your custom crown is fitted, adjusted for bite and color, and permanently bonded.
Each crown is precision crafted to blend seamlessly with your natural smile.

Porcelain or Ceramic Crowns – Best for front teeth; offer a natural, translucent appearance.
Porcelain-Fused-to-Metal (PFM) – Added strength for back teeth while maintaining aesthetics.
Zirconia or E-max – Premium options known for durability, beauty, and biocompatibility.
Gold Crowns – Ideal for high pressure molars; minimal wear on opposing teeth.
Restores tooth strength and bite function
Protects from further damage or fracture
Natural color and contour for confident smiling
Long-lasting durability (10–15+ years with care)
Most dental insurance plans partially cover crowns when they’re medically necessary. Cosmetic upgrades or elective replacements may not be fully covered. Our Downtown LA office provides clear cost estimates and financing options during your consultation.